ist ein System, dass für moderne KFO-Praxen und deren Teams entwickelt wurde. Ein Konzept, dass den Behandlern von heute den Nachfolger der Edgewise-Technik in die Hand legt – Wedgewise. Durch die einzigartige Geometrie des TRIAMOND™ Brackets und das Zusammenspiel von Slot, Bogen und dem auf der Vektor-Technologie basierenden Clip wird nicht nur die Behandlung selbst vereinfacht, es werden zudem Grenzen überwunden, die mit älteren Techniken verbunden sind und letztlich deren Effizienz im Wege stehen. Diese problemlos delegierbare Apparatur wird Ihre klinische Erfahrung revolutionieren – dies alles geschieht dank einer äußerst einfachen, intuitiven Anwendung, die während des Behandlungsverlaufs deutlich weniger Bögen und Tools erfordert (2).
Das Abenteuer beginnt
Das TRIAMOND™-Protokoll – verdoppelt Ihren Praxisdurchlauf und gewährleistet zuverlässige klinische Ergebnisse
Die TRIAMOND™ & Wedgewise Biomechanik – einfach, sicher & planbar
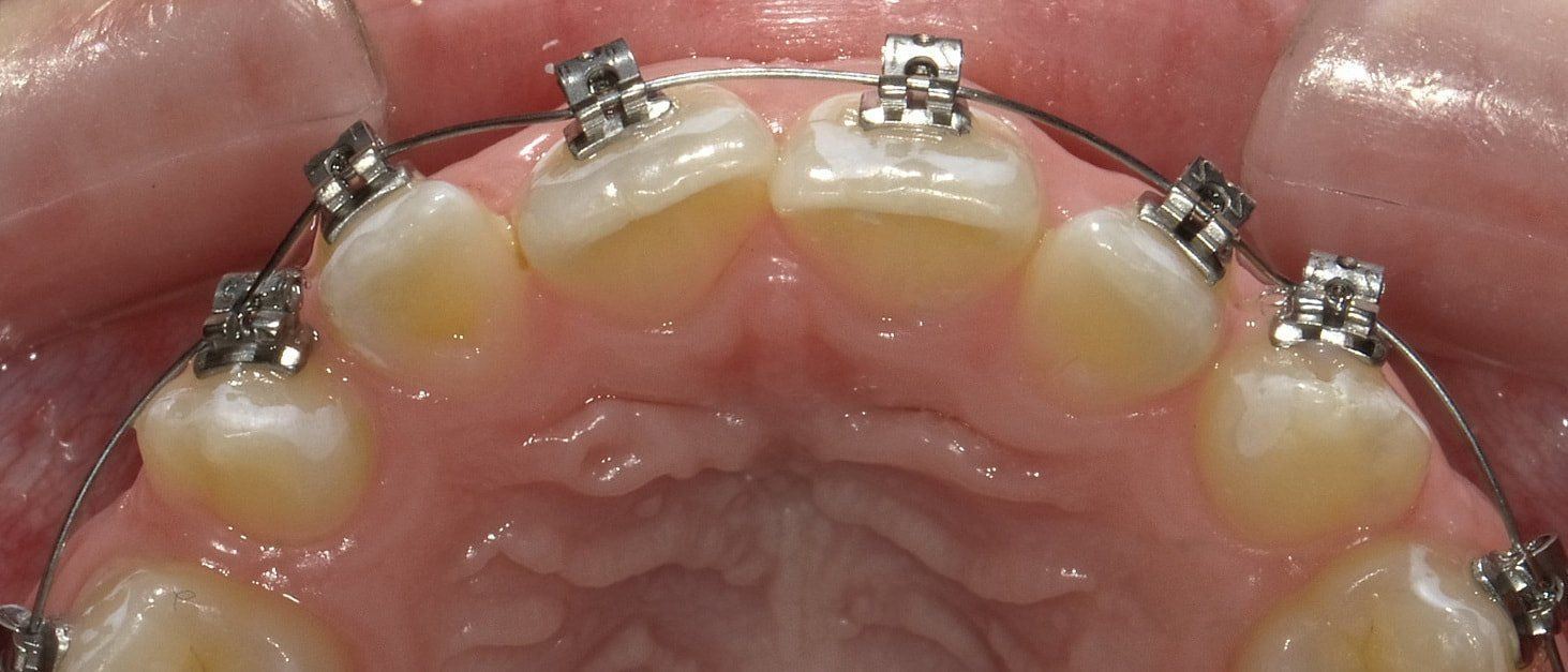
Das TRIAMOND™ System nutzt die revolutionäre Wedgewise-Technik, ein Konzept, dass auf einem einfachen Bogenmechanismus mit einzigartiger Geometrie basiert. Das effektive Zusammenspiel von TRIAMOND™ Bracketslot, Wedgewise-Bogen und den Kraftvektor-steigernden Eigenschaften des außergewöhnlichen selbstligierenden Clips unterstützt die kieferorthopädische Zahnbewegung.
Die innovativen Komponenten des TRIAMOND™ Systems sorgen dafür, dass die initiierten Zahnbewegungen, im Gegensatz zu herkömmlichen Brackets mit rechteckigem Slot, erleichtert werden und in kürzerer Behandlungszeit vonstattengehen. Denn, weder überlagern sie die Nebenwirkungen, die mit der älteren Methode einhergehen, noch erfordern sie deren höheren Kraftaufwand. 
So haben klinische Untersuchungen gezeigt, dass mit TRIAMOND™ eine Verkürzung der Gesamtbehandlungsdauer von i.d.R. 40-60 % im Vergleich zu bisherigen rechteckigen Slotdesigns konventioneller wie selbstligierender Brackets erzielt werden kann.
Außerdem sind bei jedem Kontrolltermin weniger Anpassungen erforderlich, und das bei Nutzung eines deutlich verkleinerten Instrumentariums. Mit Blick auf den Zeitplan einer festsitzenden Behandlung, können wir eine Steigerung der Praxiseffizienz um 30 % feststellen. Für eine moderne KFO-Praxis und deren Team erscheinen die Eigenschaften des TRIAMOND™ Systems nahezu maßgeschneidert. Denn sie ermöglichen, dass eine schnell zu erlernende und einfach zu bedienende festsitzende Apparatur noch intuitiver gehandhabt werden kann, um vorhersagbare und klinisch exzellente Behandlungsergebnisse zu erzielen.
Es werden nur 2 Bogensets benötigt und somit Ihre Kosten reduziert
Die innovative Geometrie des TRIAMOND™ Bracketslots gepaart mit den herausragenden Eigenschaften des selbstligierenden Clipmechanismus machen Wedgewise zu einem einzigartigen Behandlungskonzept mit zahlreichen Anwendungsmöglichkeiten. Während die Edgewise-Technik auf drei wesentlichen Schritten basiert (Nivellieren und Ausrichten, Arbeitsphase sowie Finishing), besteht Wedgewise nur aus zwei Schritten, da Arbeits- und Finishingphase parallel ablaufen. Während bei Edgewise drei bis sechs oder gar sieben Bogensets benötigt werden, kommt Wedgewise mit nur zwei Bogenpaaren aus.

 
  
  
 













