HÄUFIG GESTELLTE FRAGEN - Dr. Moshe Davidovitch, der klinische Entwickler von Triamond™, antwortet!
KLINISCHER UNTERSCHIED ZWISCHEN EDGEWISE UND WEDGEWISE
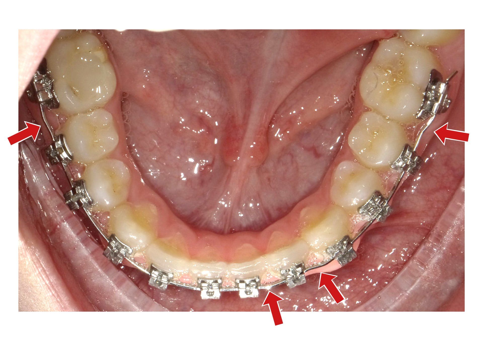
TRIAMOND™ Wedgewise ermöglicht aufgrund der engen Passform von Bogen, sowie des rautenförmigem Bracketslot eine körperliche Bewegung der Zähne. Darüber hinaus gewährleistet das innovative Slotdesign eine friktionsarme Behandlung, die zu einer gewebeschonenderen, schnelleren und besser kalkulierbaren Zahnbewegung führt.
TRIAMOND™ – EINE BESSERE ALTERNATIVE ZU ALIGNERN?
Wenn Sie Ihre Patienten in deutlich kürzerer Zeit, mit besser planbaren Ergebnissen und
mit geringerem Aufwand behandeln möchten, stellt TRIAMOND™ zweifelsfrei die beste Option für Sie dar.
„WIR KÖNNEN ES BESSER MACHEN – SCHON ZU HARVARD-ZEITEN KEIMTE DIESER GEDANKE IN MEINEM KOPF“
Dr. Davidovitchs persönliche Geschichte hinter seiner kieferorthopädischen Revolution
Bereits während seiner Forschungszeit an der Harvard Universität erkannte Dr. Moshe Davidovitch und seine Kollegen, dass kieferorthopädische Behandlungen oft ineffizient und/oder mithilfe biologisch fragwürdiger Methoden durchgeführt wurden. Aufgrund der erzielten klinischen Ergebnisse wurde dies jedoch vernachlässigt.
Die Forschung hat gezeigt, dass keine der verfügbaren Apparaturen die erforderliche Biomechanik aufrechterhalten konnte, da sie alle nur Variationen des gleichen Edgewise-Designs darstellten. Er teilte seine Bedenken mit einigen seiner befreundeten Harvard-Ingenieure und gemeinsam entwickelten sie neue Ideen. Das Ergebnis: ein einfaches und elegantes dreieckiges Slotdesign. Die Revolution konnte beginnen!
WARUM IST TRIAMOND™ NICHT NUR EIN WEITERES SELBSTLIGIERENDES BRACKET IST?
Es gibt einige wesentliche Aspekte, die der Grund dafür sind, warum dieses selbstligierende Bracket eine klinisch messbare Effizienz bietet. So bildet der TRIAMOND™-Bracketclip – im Gegensatz zu anderen Verschlussmechanismen – einen Hebel dritter Ordnung, wodurch dem System eine aktive Biomechanik hinzugefügt wird. Diese ermöglicht ein schnelles und effizientes Ausrichten der Zähne.
Darüber hinaus wird durch die Bauart des Clips der Tragekomfort des Patienten erhöht sowie dessen Mundhygiene erleichtert, indem ein direktes und sicheres Einhängen von Gummizügen jeglicher Art ermöglicht wird (einschließlich Elastikketten und/oder intermaxillärer Gummizüge). Des Weiteren sorgt der Bracketclip für eine Regulierung der auf die Spitzen der Zahnwurzeln wirkenden Kräfte. Dies wiederum führt zu bioverträglich sicheren und schnelleren Zahnbewegungen.
Sobald der Zahn rotiert, drückt der Clip den Bogen in den Bracketslot, wodurch der Sitz des Bogens verbessert und effektive Derotationen gewährleistet werden.
TIPPS ZUM BRACKETHANDLING & KLINISCHE TRICKS





