Quelle: Alle Fälle werden von der TRIAMOND™ MASTERMIND-Community zur Verfügung gestellt.
Vielen Dank!
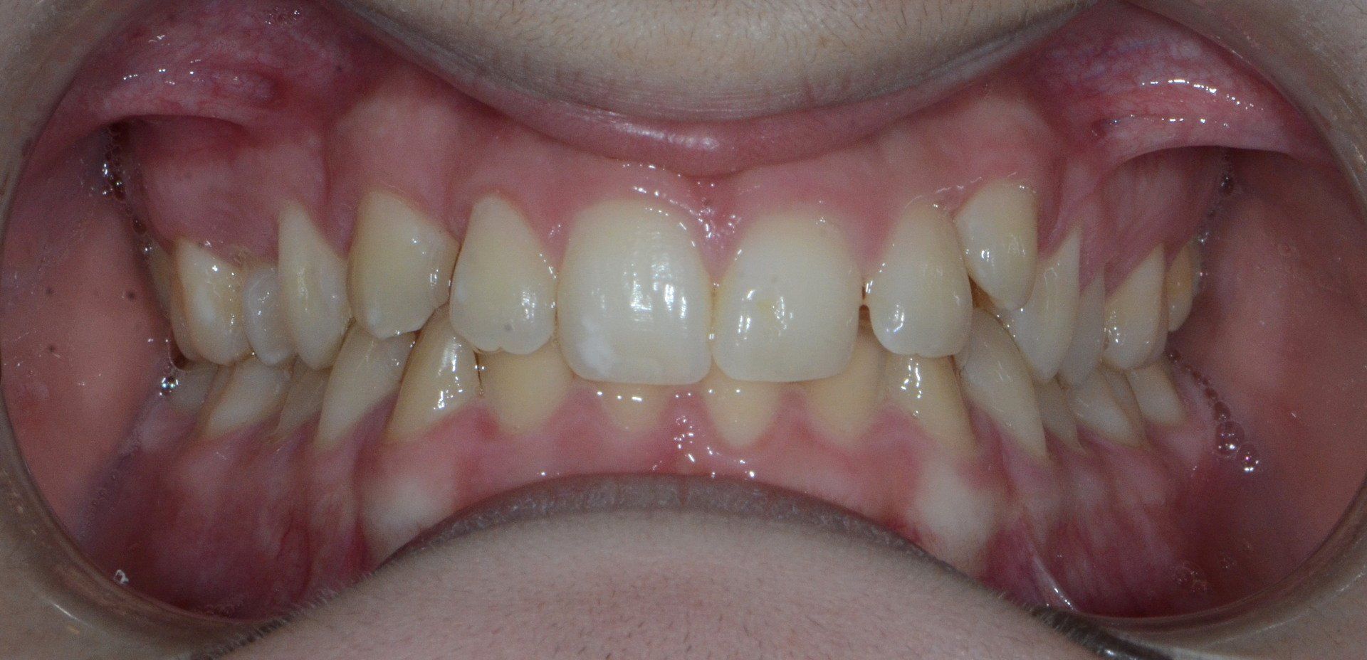
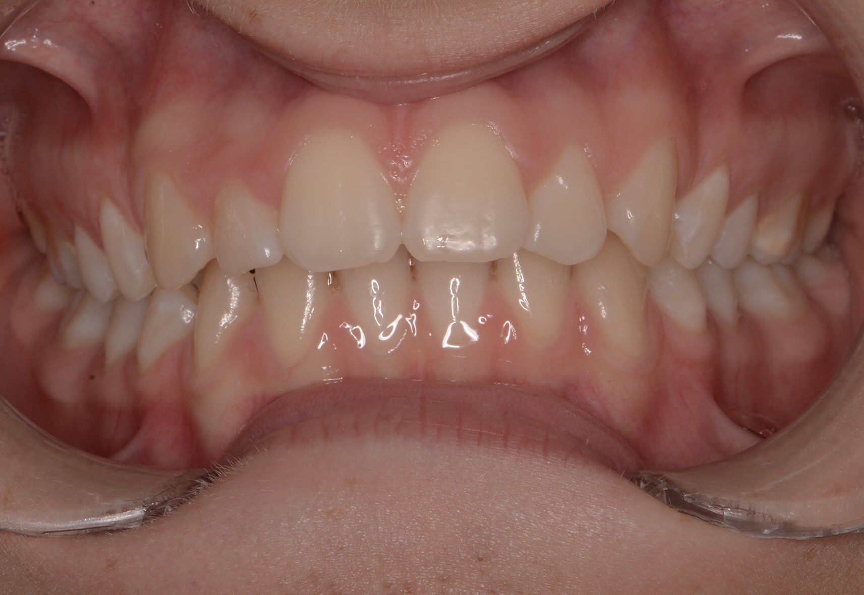
Behandlungsdauer: 5 Monate mit TRIAMOND™ Zusätzlich: Carriere® Motion Gerät für 5 Monate
 
  
  
  
  
  
  
  
  
  
  
  
  
  
  
 Zusätzlich: Carriere® Motion Gerät für 5 Monate .
 
 16-jähriger männlicher Patient mit einem „versteckten“ Tiefbiss der Klasse III, behandelt mit dem TRIAMOND™-System für 11 Monate unter Verwendung eines 0,016 Zoll NiTi-Nivellier- und Ausrichtungsdrahts für 3 Monate mit anterioren Aufbissen, gefolgt von dem Wedgewise Edelstahl-Arbeits-/Finishing-Draht für 7,5 Monate Elastische Ketten und intermaxilläre Gummizüge wurden ab dem Bonding-Termin verwendet Es gab 7 Behandlungsbesuche (einschließlich Bonding und Debonding).
 
 14-jährige Patientin, die 10 Monate lang mit dem TRIAMOND™-System behandelt wurde, wobei 3 Monate lang ein 0,016 Zoll NiTi-Nivellier- und Ausrichtungsdraht verwendet wurde, gefolgt von 7 Monaten mit dem Wedgewise-Arbeits-/Finishdraht aus rostfreiem Stahl. Es gab 6 Behandlungsbesuche (einschließlich Bonding und Debonding ).
 
 16-jähriger männlicher Patient mit Klasse-III-Malokklusion, behandelt mit dem TRIAMOND™-System für 13 Monate unter Verwendung eines 0,016" NiTi-Nivellier- und Ausrichtungsdrahts für 4 Monate mit anterioren Aufbissblöcken, gefolgt von dem Wedgewise-Arbeits-/Finishing-Draht aus Edelstahl für 8,5 Monate. Es gab 7 Behandlungsbesuche (einschließlich Bonding und Debonding).
 
 14-jährige Patientin mit Klasse-I-Malokklusion mit lateral offenen Bissen und starkem Engstand. Sie wurde 14 Monate lang mit dem TRIAMOND™-System behandelt, wobei 2 Monate lang ein 0,014 Zoll NiTi-Nivellier- und Ausrichtungsdraht mit seitlichen vertikalen Gummizügen und dann weitere 6 Monate mit einem 0,016 Zoll NiTi-Draht verwendet wurde, gefolgt von dem Wedgewise Edelstahl-Arbeits-/Finishing-Draht 6 Monate. Bei allen Drahtbogenkombinationen wurden vertikale Gummibänder verwendet. Es gab 8 Behandlungsbesuche (einschließlich Bonding und Debonding).
 
 Ein 11-jähriger männlicher Patient mit einer Malokklusion der Klasse II, Unterteilung 1, LINKS, wurde 16 Monate lang mit dem TRIAMOND™-System behandelt, wobei 7 Monate lang ein 0,016 Zoll NiTi-Nivellier- und Ausrichtungsdraht verwendet wurde (während Platz für Zahn 23 geöffnet wurde), gefolgt von Wedgewise Edelstahl Arbeit/Fertigstellung des Drahtes für 9 Monate Es gab 9 Behandlungsbesuche (einschließlich Bonding und Debonding und 1 Notfalltermin).
Patientin, die im Alter von 11 Jahren mit der Behandlung begann und 9 Monate lang eine zervikale Kopfbedeckung verwendete, um eine Klasse-II-Division-1-Malokklusion an den Molaren mit einem 11-mm-Overjet zu korrigieren, gefolgt von einer 5-monatigen Behandlung mit dem TRIAMOND™. Es gab 4 reine HG- und 4 TRIAMOND™-Behandlungstermine (einschließlich Bonding und Debonding).
 
 14-jährige Patientin mit einer überfüllten Malokklusion der Klasse III, behandelt mit dem TRIAMOND™-System für 10 Monate unter Verwendung eines 0,016" NiTi-Nivellier- und Ausrichtungsdrahts für 3 Monate mit Klasse-III-Gummizügen, gefolgt von dem Wedgewise-Arbeits-/Finishing-Draht aus Edelstahl für 7 Monate Es gab 6 Behandlungsbesuche (einschließlich Bonding und Debonding).
 
 11-jährige Patientin mit Klasse-II-Malokklusion mit starkem Engstand, die zur Extraktion der Zähne 16, 24, 34 und 46 überwiesen wurde. Sie wurde 13 Monate lang mit dem TRIAMOND™-System behandelt, wobei 4 Monate lang ein NiTi-Nivellier- und Ausrichtungsdraht von 0,016 Zoll verwendet wurde Monate mit elastischen Ketten (von 36–33 und 47–44) und Gummizügen der Klasse II ab dem Tag des Bondens Der Wedgewise-Arbeits-/Finishingdraht aus Edelstahl wurde 8 Monate lang verwendet Es gab 7 Behandlungsbesuche (einschließlich Bonden und Lösen).
 
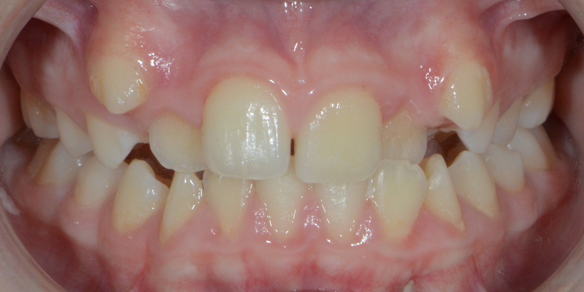
 11-jährige Patientin mit einer Malokklusion Klasse I (aber versteckt Klasse III) mit transversaler Koordinationsstörung. Sie wurde 13 Monate lang mit dem TRIAMOND™-System behandelt, wobei 3 Monate lang ein NiTi-Nivellier- und Ausrichtungsdraht von 0,016 Zoll verwendet wurde, gefolgt von der Wedgewise-Edelstahlarbeit/Finishi
 
 Zusätzlich: Extraktion des unteren Prämolaren orthognatische Chirurgie
 
 14-jähriger männlicher Patient mit einer leicht überfüllten Klasse-I-Malokklusion. Er wurde mit dem TRIAMOND™-System in 5 Monaten behandelt, wobei 1,5 Monate lang NiTi-Nivellierungs-/Ausrichtungs-Bögen von 0,016 Zoll verwendet wurden, gefolgt von 3,5 Monaten Wedgewise-Bögen aus Edelstahl. Es gab 4 Behandlungstermine (einschließlich Bonding und Debonding).
 
 2 Jahre alte Patientin mit einer überfüllten Malokklusion der Klasse II Division 1. Sie wurde 5 Monate lang mit dem Carrier Motion 2-Gerät und 8 Monate lang mit dem TRIAMOND™-System behandelt. NiTi-Nivellierungs-/Ausrichtungsbögen mit 0,016 Zoll wurden 3 Monate lang mit vertikalen Gummibändern verwendet, gefolgt von Wedgewise-Bögen aus Edelstahl für 5 Monate. Es gab 3 Behandlungstermine mit dem Motion 2 und 5 mit TRIAMOND™ (einschließlich Bonding und Debonding).
 
 15-jährige Patientin mit einer Klasse-II-Division-1-Malokklusion mit einem 6-mm-Overjet. Sie wurde mit dem TRIAMOND™-System in 15 Monaten behandelt (schlechte Kooperation), wobei 0,016 Zoll NiTi-Nivellierungs-/Ausrichtungs-Bögen für 5 Monate verwendet wurden, gefolgt von Wedgewise-Bögen aus Edelstahl für 10 Monate. Ab dem Tag des Bondings wurden Gummizüge der Klasse II verwendet. Es gab 7 Behandlungstermine (inkl. Bonding und Debonding und 2 Notfalltermine).
 
 35-jährige Patientin mit gedrängter Malokklusion der Klasse I. Sie unterzog sich einer Uniarch-Behandlung mit einer Extraktion der unteren Schneidezähne in 5 Monaten mit dem TRIAMOND™-System. Ein 0,016" NiTi-Nivellierungs-/Ausrichtungsbogen wurde 3 Monate lang mit einer elastischen Kette von 31-42 verwendet. Darauf folgte der Wedgewise-Bogen aus Edelstahl für 2 Monate. Es gab 5 Behandlungstermine (einschließlich Bonding und Debonding).
Postanschrift: Deutschland - Hauptsitz
Adenta GmbH Gutenbergstraße 9, D-82205 Gilching Deutschland | Tel.  49 8105-73436-0 | F.  49 8105-73436-22 | Email. 
info@adenta.com
Impressum | 
Datenschutz-Bestimmungen | Copyright © 2021 Adenta GmbH. Alle Rechte vorbehalten.